إحجز موعد الآن

تصليح إعوجاج وتقوس الساق وأسبابه و طرق التشخيص
تصليح إعوجاج وتقوس الساق، تعتبر مشكلة تقوس الساقين من الأمراض التي يعاني منها العديد الأشخاص ولكن تزداد النسبة بشكل كبير لدى للأطفال، مع العلم أنه عندما تكون هذه المشكلة لدى الأطفال تكون مرحلة علاجه سهلة وتنتهي مع مرور الوقت وبدون اللجو إلى العمليات الجراحية، ولكن كلما تقدم عمر المريض كلما كان العلاج يحتاج إلى وقت أطول وفي بعض الحالات لا تتم عملية الإصلاح الإ بالتدخل الجراحي، وليس هذا فقط ولكن يوجد العديد من المضاعفات التي تترتب على إهمال التقوس من البداية
في السطور القادمة سوف نتعرف على المزيد من التفاصيل بخصوص إصلاح تقوس الساق وطرق علاجه لجميع المراحل العمرية، كما نتعرف على طرق التشخيص و أشهر الأعراض التي يعاني منها المريض والتي تدل على أنه لديه إعوجاج في الساق.

محتويات الموضوع
ما هو تقوس الساق؟
إعوجاج (تقوس) الساق هي حالة مرضية تظهر بسبب تشوة في نمو العظام من الصغر، ويترتب عليه حدوث تباعد بين الساقين عند الوقوف، كما يكون الساقين منحنيين للخارج عند منطقة الركبة، ومن أشهر الأسباب التي تؤدي إلى ذلك هو وضعية الجنين في رحم الأم، ولكن في هذه الحالة يختفي هذا التقوس مع مرور الوقت بشكل تلقائي، ولكن في حالة استمرار هذا التقوس بعد وصول الطفل عمر السنتين وأثر هذا على طريقة المشي لابد من استشارة طبيب مختص، لأنه كلما كان العلاج مبكرًا كلما كانت النتيجة أفضل بإذن الله، حيث يكون علاج هذا التقوس صعب نوعًا ما كلما تقدم المريض في السن، لأن عمر المريض وشدة التقوس هما العنصريين الأساسين في مرحلة العلاج.

أسباب إعوجاج الساقين
بعد الاطلاع على تعريف مفهوم تقوس الساقيين لابد من معرفة الأسباب التي تؤدي إليها، حيث أن وضعية الطفل في رحم الأم من أولى الأسباب الفسيولوجية التي تؤدي إلى ذلك، أما بالنسبة للأسباب الأخرى فهي تتمثل في:
- الكساح (Rickets): يصاب الشخص بالكساح نتيجة نقص عنصر الكاليسوم و فيتامين د من الجسم، حيث يترتب على ذلك ضعف عظام الساقين مما يسهل إنحنائهما للخارج (التقوس).
- القزامة ( Dwarfism): ينتج هذا المرض بسبب وجود اضطراب في نمو العظام والذي يطلق عليه مصطلح ( Achondroplasia) وبالتالي يصاب الشخص بالتقوس.
- مرض بلونت ( Blount`s disease): هذا المرض منتشر بنسبة كبيرة من الأطفال وهو ناتج عن محاولة مشي الطفل في سن مبكر ووجود مشكلة في نمو عظام قصبة الساق أيضًا، كما يصاب به الأطفال الذين يعانون من السمنة المفرطة.
- التسمم: عندما يتعرض الشخص إلى حالة تسمم بمادة الرصاص أو الفلوريد يترتب عليه تقوس الساقين إلى الخارج.
- مشاكل في العظام: في حالة تعرض الشخص للكسر في عظم الساق وعدم التئامها بشكل صحيح يسبب يوجد إعوجاج نسبي في الساق.

أعراض إعوجاج الساقين للخارج
توجد بعض الأعراض في حالة ظهورها لابد أن يتأكد الشحص أنه يعاني من تقوس الساقين ولابد من علاجهما، ومن أبرز هذه الأعراض هي:
- الشعور بألم مستمر في منطقة الركبة والوركين أيضًا.
- عدم تلامس الساقين مع بعضهم البعض عند الوقوف بشكل مستقيم وتلامس الأقدام والكاحلين في نفس الوقت أيضًا.
- قلة الحركة لفترات طويلة بسبب الإصابة بمرض معين يؤثر على الحركة بوجه عام.
- عدم القدرة على ممارسة التمارين الرياضية البسيطة مثل المشي والجري.
- إذا كان المريض يعاني من التهاب مفاصل الركبة وخصوصًا لدى البالغين، ويرجع سبب ذلك عدم معالجة تقوس الساق منذ الصغر.
- لا تقتصر أعراض الإعوجاج على الأعراض الجسدية فقط، بل يؤثر هذا الأمر على الحالة النفسية للمريض أيضًا بسبب تعرضه للتنمر و عدم قدرته على مواجهة الأشخاص في المجتمع.

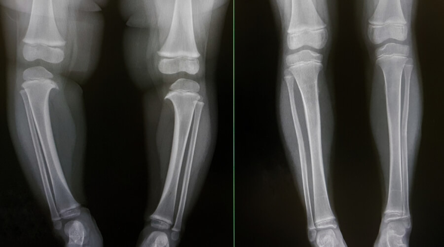
كيفية تشخيص تقوس الساقين
كما ذكرنا من قبل أن التقوس الساقين من الممكن أن يكون أمر طبيعي للغاية عند ولادة الطفل، ولكن في حالة استمرار هذا التقوس بعد مرور عامين لابد من الاهتمام بالأمر والخضوع إلى تشخيص دقيق من أجل معرفة الحالة المرضية لتحديد طريقة العلاج التي تتناسب معه، بالإضافة إلى ما سبق في حالة ملاحظة عدم استقامة الساقين معًا أو إنحنائهما بطريقة غير طبيعية يتم مراجعة الطبيب في أسرع وقت، كما تتمثل طرق تشخيص التقوس في الآتي:
- في البداية يتم خضوع المريض إلى الأشعة السينية من أجل التأكد من وجود تشوه في العظام أم لا.
- عمل بعض الفحوصات الأخرى التي تبين إصابة المريض بأي أمراض تؤدي إلى التقوس مثل الكساح أو مرض بلونت.
- كما يخضع المريض إلى عمل تحاليل دم شاملة للتأكد من عدم إصابته بأي أمراض أخرى.

طرق علاج إعوجاج الساقين
هناك طريقتين من أجل علاج تقوس الساقين وهما العلاج غير الجراحي والعلاج الجراحي، ونحن سوف نوضحهما في نقاط محددة وهما:
العلاج غير الجراحي
إذا كان التقوس لدى الأطفال يمكنهم معالجته بالطرق الآتية:
- تناول الأطعمة التي تحتوي على الكاليسوم وفيتامين د، كما يمكنه تناول المكملات الغذائية التي تعمل على تقوية العظام مرة أخرى.
- توجد بعض التمارين التي تعمل على تقوية والحفاظ على مرونتها، مع العلم أن هذه التمارين تأتي بنتائج ناجحة خصوصًا لدى الأطفال، حيث تعمل هذه التمارين على تخفيف الضغط على العظام بصفة عامة وتحسين التوازن أيضًا.
- في بعض الحالات تستخدم الجبائر من أجل تقويم التقوس، ولكن هذا يحدث فقط في حالات التقوس البسيطة التي تكون لدى الأطفال.
العلاج الجراحي
يوجد العديد من الطرق الجراحية التي يلجأ إليها الطبيب في حالة علاج إعوجاج الساقين، ولكن كل طريقة تتناسب مع حالة صحية منفردة، مع العلم أن طريقة العلاج تتوقف أيضًا على حسب عمر المريض وشدة التقوس الذي يعاني منه، وتتمثل هذه الطرق في الآتي:
- عملية شق بسيط في العظم وتتم هذه العملية للأطفال حيث تكون العظام في مرحلة النمو والهدف منها هو إعادة استقامة العظام.
- عملية قطع العظم الزائد حيث يتم فيها قطع عظمة أو أكثر من أجل استقامة الساقين، ولكن تتناسب هذه العملية للبالغين والمراهقين الذين لم يتم علاجهم منذ الصغر.
- عملية إطالة الأطراف وهذه العملية تتم في حالة اكتشاف عدم تساوى الساقين مع بعضهما البعض، لأن في بعض الحالات يعاني البعض من وجود ساق أقصر من الآخر.
- و أخيرًا عملية تثبيت العظام وذلك عن طريق قضيب من أجل نجاح عملية التثبيت أو باستخدام صفائح داخلية، كما يمكن استخدام دبابيس لتثبيت العظام من أجل ربطهما بالهيكل الخارجي لضمان استقرار العظام.
الأسئلة الشائعة
كيف أعرف أن طفلي مصاب بتقوس الساقين؟
يمكن لأي أم أو أب معرفة إصابة الطفل بتقوس الساقين عن ملاحظة عدم استقامة الساقين في حالة الوقوف أو وجود مسافة بين الركبتين والقدمين أيضًا، وملاحظة انحناء الساقين للخارج مما يترتب عليه وجود تقوس واضح وملحوظ.
هل توجد تمارين لعلاج تقوس الساقين؟
إذا كان التقوس في مرحلة متأخرة منه في هذه الحالة لا توجد تمارين تعمل على علاج هذ التقوس، ولكن التمارين بصفة عامة تعمل على تقوية العضلات التي توجد حول الركبة وبالتالي تعمل على حمايتها.
ما المضاعفات التي يمكن أن تحدث عند إهمال علاج تقوس الساقين؟
يوجد العديد من المضاعفات الخطيرة التي تنتج من إهمال علاج التقوس منذ الصغر منها ( عدم القدرة على المشي بطريقة صحيحة ( طريقة العرج)، الشعور بألم في الظهر مصاحب بالتهابات شديدة في مفصل الركبة، ومن الممكن أن يصاب الشخص بالخشونة إذا كان متقدم في العمر.
في الختام نود أن تكون فقرات مقال اليوم وهو تصليح إعوجاج وتقوس الساق نالت إعجابكم، حيث تعرفنا على كل البيانات والتفاصيل الخاصة بداية من تعريف هذا المصطلح و كيفية علاج هذا التقوس سواء كان العلاج بالطرق الطبيعية أو الجراحية، كما يجب على جميع الآباء والأمهات ملاحظة مراحل نمو أطفالهم ومتتابعتهم عند الوقوف والمشي وفي كل تفاصيل حياتهم، والهدف من ذلك علاج المشكلة من البداية بدلًا من تطورها، وإذا كان لديك أي استفسار أو أسئلة يمكنكم الدخول على هذا الرابط سوف تجد المزيد من المعلومات الهامة.